Demineralizzazione denti: perché avviene, sintomi e cosa fare
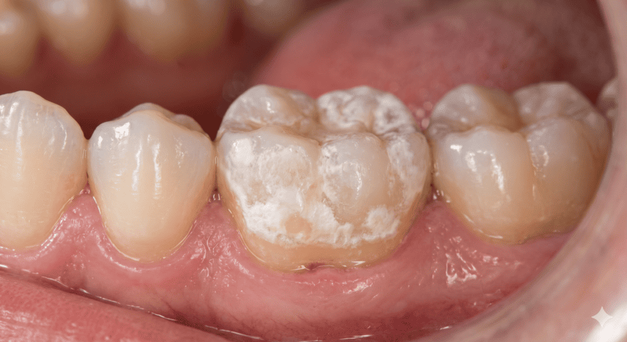
Se guardandoti allo specchio ultimamente hai notato delle macchioline bianche sui denti e ti sei chiesto cosa fossero, qui possiamo darti una prima risposta e andare più a fondo sulla questione. Quelle macchie bianche potrebbero essere causate dalla cosiddetta...
Come posso mettere i denti se non ho i soldi? Scopri tutte le convenzioni odontoiatriche
Se sei capitato su questo articolo, probabilmente almeno una volta hai pensato di voler rimettere a posto il tuo sorriso, temendo però di non riuscire a farlo per paura di un preventivo troppo alto. Certo, mettere i denti nuovi quando il budget è stretto sembra una...
Ascesso dente devitalizzato: perché accade, come gestirlo e come intervenire
Pensavi di aver risolto ogni problema con la devitalizzazione, eppure…senti quel dolore pulsante proprio lì, dove il dente non dovrebbe darti più problemi. Oppure hai notato un gonfiore sospetto sulla gengiva o una piccola pallina di pus. La situazione potrebbe...
Scaling dentale: cos’è, come si esegue, benefici, costi e consigli post-trattamento
Mantenere un sorriso più sano e luminoso nel tempo non è importante solo per una questione di estetica, ma soprattutto per il benessere generale della tua bocca. Magari sei molto attento all’igiene orale, ma a volte le buone abitudini di igiene domestica non bastano...
